Health blogs from the UK Health Security Agency
How Heat-Health Alerts contribute to keeping the vulnerable safe this summer
The sun is shining and most of us will be happy to see the arrival of warmer and drier weather after the wet and cool summer we have had so far. This week’s higher temperatures have...
How you can help us resist the tiger mosquito’s conquest of Europe
Tiger mosquito sitting on the table of an outdoor café (image generated by AI) As our world becomes increasingly interconnected and the climate changes, the UK faces challenges that we...
What is RSV and is there a vaccine?
Respiratory syncytial virus (RSV) is a major respiratory virus that is common over the winter period, typically November to February. While the symptoms are mild for many, RSV accounts for...
Whooping cough: my daughter spent the third week of life in an induced coma
Whooping cough, also known as pertussis, is a highly contagious bacterial infection that mainly affects the lungs and airways. The whooping cough vaccine is given as part of...
From measles to malaria, how to keep you and your family healthy on holiday
Dr Shreya Singhal is a junior doctor working in West London, as well as being a keen backpacker. She has worked in Infectious Diseases and General Practice and shares her top tips for...
I was a GP on the frontline of a whooping cough epidemic. Here is what I saw.
Doug Jenkinson was a Midlands GP for 37 years, during which time he made a special study of whooping cough and documented over 700 cases. The thing about whooping cough is that anyone can...
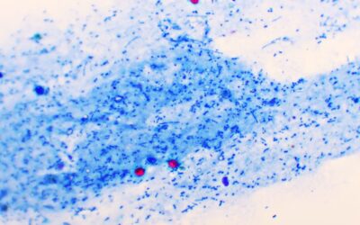
What is cryptosporidium, and how can you avoid it in the water or on the farm?
Cryptosporidium parvum protozoa positive (red sphere shape) in human poo smear Cryptosporidium is a microscopic parasite that can cause an unpleasant – and sometimes dangerous – illness...
Whooping cough: One mother's story of love, loss and action
Credit: Catherine Hughes Cases of whooping cough have been rising across England, increasing from 556 cases in January, 918 in February to 1,319 cases confirmed in March - bringing the...
What is UKHSA doing about antibiotic resistance?
Antimicrobial resistance (AMR) occurs when medicines used to fight infections lose their effectiveness because the organisms they target – whether bacteria, fungi, viruses or parasites –...
How to stay safe from infections carried by animals when visiting a farm
Visiting a farm is an enjoyable and educational experience for the whole family, but it carries a risk of infection from animals or the environment. Farm animals may carry germs that can...
How did singing and dancing pills raise awareness of antibiotic resistance?
Antimicrobial resistance (AMR) occurs when organisms that cause infection, like bacteria, develop resistance to medicines like antibiotics. The World Health Organization estimates that...
How we work with partners to push the boundaries of vaccine R&D
As we release our Commercial Strategy, I wanted to reflect on the ways in which we partner with industry to drive greater innovations and better health outcomes. One unintended consequence...











